Admin
Write
マッツゴ2
2026/03/19 [Thu]
[PR]
×
[PR]上記の広告は3ヶ月以上新規記事投稿のないブログに表示されています。新しい記事を書く事で広告が消えます。
Top
|
|
Edit
2014/06/09 [Mon]
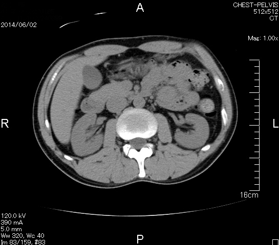
検査結果
建替え工事が始まっていた。
昔々の古い病棟が取り壊され、駐車場も壊して新しい病棟を建設するようだ。
マーカー、CT画像、問題なし!!
今回も血液検査結果は正常値のパレード!
野菜中心の健康的な食事のおかげである。
Thank Youヨメ!!
PR
Comment(0)
|
Top
|
健康
|
Edit
«
かたつむり
|
HOME
|
ランチ
»
POST
name
title
mail
URL
comment
pass
secret(※管理者へのみの表示となります。)
COMMENT
<< かたつむり
|
ランチ >>
HOME
|
309
308
306
304
307
305
303
302
301
300
298
ブログ内検索
カレンダー
02
2026/03
04
S
M
T
W
T
F
S
1
2
3
4
5
6
7
8
9
10
11
12
13
14
15
16
17
18
19
20
21
22
23
24
25
26
27
28
29
30
31
プロフィール
HN:
マッツゴ
リンク
photo (2012/5/26 update!)
転移により抗がん剤治療(BEP)
マッツゴ(~2013/5/18)
マッツゴ3(2016/5/5~)
最新記事
ブログ引越し
(05/05)
カブ&FZ
(05/03)
今年初ソフト
(05/01)
お散歩
(04/30)
Ninja1000と
(04/23)
カテゴリー
未選択(106)
FZS600(113)
スーパーカブ110(20)
MUSIC(15)
守谷(141)
修繕・製作(34)
食(141)
健康(46)
ヨメ(18)
地震(18)
天体(46)
降水短時間予報
-
降水短時間予報
-
最新コメント
無題
[05/13 ヨメ]
無題
[03/04 ヨメ]
無題
[01/24 マッツゴ]
無題
[01/24 マッツゴ]
無題
[01/24 sawao]
アーカイブ
2016年05月(3)
2016年04月(15)
2016年03月(18)
2016年02月(20)
2016年01月(17)
2015年12月(21)
2015年11月(12)
2015年10月(12)
2015年09月(23)
2015年08月(14)
2015年07月(17)
2015年06月(20)
2015年05月(17)
2015年04月(12)
2015年03月(16)
2015年02月(15)
2015年01月(23)
2014年12月(21)
2014年11月(18)
2014年10月(17)
2014年09月(20)
2014年08月(19)
2014年07月(16)
2014年06月(17)
2014年05月(23)
2014年04月(19)
2014年03月(21)
2014年02月(17)
2014年01月(18)
2013年12月(30)
2013年11月(32)
2013年10月(21)
2013年09月(20)
2013年08月(29)
2013年07月(26)
2013年06月(25)
2013年05月(14)
Copyright ©
マッツゴ2
All Rights Reserved.
Powered by
NinjaBlog
Graphics by
写真素材Kun
* Material by
Gingham
* Template by
Kaie
忍者ブログ
[PR]