忍者ブログ
×

[PR]上記の広告は3ヶ月以上新規記事投稿のないブログに表示されています。新しい記事を書く事で広告が消えます。

昨日仕事帰りに守谷すたいるによったら偶然発見。
5月に初めて買って本日でやっと4回目の購入w。
滅多にないからねぇ。
で、今回スコーンもあったので迷わず買ったが、絶品!!!!!
すごいなぁバッケンバルト。
PR

朝の気温が氷点下になり始めた。
さすがに我慢できずにダウンコートを着る。
なぜ「我慢」していたか。
都内に出ると気温が3~5℃も高いから・・・。

朝は氷点下でも、我が家の水曜は「アイスの日」w。
どうでもよいがキャラメルのほうには値段が書いてない。
「味があっさりしてるね」とヨメと話す。
成分表示を見てみたら、乳固形分、乳脂肪分がアイスクリーム規格ではあるものの低かったからだった。
納得!!!

年末恒例のコンサートです。
今年も来日してくれましたのでヨメと2人で行ってきました。
編成はいつもどおりなのですが、バイオリンのおじいちゃんがいなかったです・・・。

毎年のことですが、結婚式をしたこの場所、初心に戻ります。

いつも寒い寒い言いながら護国寺から歩くのですが、
今年は風もなく寒さもそれほどでもありませんでした。

晩御飯は去年までは護国寺にはなかった「太陽のトマト麺」。
なかなかうまかったです!!
写真にするとなんだかグチャグチャですがw。

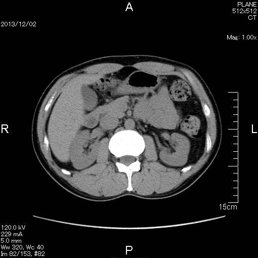
マーカー、CT画像、問題なし!!
通常の血液検査結果も文句なしの正常値がズラ~っと並んだ!!
間違いなくヨメの食事のおかげである。ほんとうに感謝である!!

ちなみに最近少々腰周りの肉付きが気になっていたのだが・・・。

左から2013年12月、2013年06月、2012年12月と背骨の位置は合わせて並べてみた。
6月まではあまり変化がなかったが、この半年で明らかに違う。
背中側の脂肪がやや増えてはいる。
でも最も大きな違いは、腸なのか、やたらと内臓が膨れている・・・。
一言で言うと食べすぎ?!?!
食事は野菜中心ではあるが、確かによく食べているw。

せっかくスーツのウエストを詰めたんだからこれ以上にならないようにしたい。
「腹八分目を心がける」かな。

大ガード向こうの景色も変わったもんだ。
ヤマダ電機なんかできたんだぁ。
本日も朝起きられず。
そんなに疲れてるのか俺?!
自覚症状はないのだが、まぁ体が睡眠を要求しているのだから従っておくがベターw。
よって今日もバイクは乗れずなのだが、バッテリーが心配でバイクから外して充電器に繋いでおいた。

今日は桜坂メルカートに偵察→ヨメ妹宅にバブゥ偵察であった。
バブゥは視力が徐々に上がっているのか、左右の目が同期するようになっていた。
寝落ちする前の顔がなんともおもしろいw。
バイクに乗ろうかと思っていたが、
起きたら10時だったw。
近所に買い物に行くだけでの土曜日であった。
まぁそういう週末もあるわな。
うわー・・・まだ56歳。
肺血栓塞栓症とのこと。
日本人の歌にはあのドラムが似合う。
俺には全然真似できない。
もう見られないのかあのドラム・・・。

国立天文台の発表を読むと、なるほどこれは無理だなと思う。
残念だが仕方ないね。


【続報】アイソン彗星の状況と今後の見通し(2013年11月30日)

近日点前後の状況

アイソン彗星は、近日点に近づくにつれて明るくなっていたにもかかわらず、近日点通過後、太陽から遠ざかる際にはきわめて淡くなっています。


日本時間11月28日19時前後から太陽・太陽圏観測衛星SOHOのマスク(遮光板)に入り込む直前の29日1時頃までの間に彗星の核が暗くなったことから、核の崩壊が始まり大きめの破片に分裂したと解釈でき、近日点でかなり融けてしまったと考えられます。

太陽から遠ざかるときの形状の考察

太陽観測衛星の画像を見ると、太陽から遠ざかるときの彗星の形状がV字型になっているのがわかります。このV字型の尾の、上縁は核が崩壊し始めた頃に放出された塵(ちり)が並ぶところ、下縁は彗星の軌道上に残された大きめの塵または破片群であると説明できます。

その後の形状変化

その後、V字型の上縁部分の塵は、次第に中央の集光部から遠ざかるように拡散していき、下縁の方もやや薄くなっています。もし、彗星核が活動している場合には、上縁よりもさらに上側に近日点通過後に放出された塵の尾が伸びるはずですが、その兆候はまったくありません。


したがって、近日点通過後の現在の彗星核(あるいは破片群)からの新たな塵の供給はないと考えられ、当初予想されていたサングレイザー(注)特有のまっすぐな尾が明るくなることはありません。

今後の見え方

近日点通過後に見えていた尾は12月5日頃には約200平方度に広がると考えられ、新たな塵の供給がなければ、その輝度は天の川の最も濃い部分の5分の1以下と見積もられます。これは天の川がはっきり見える暗い空でも、やっと視認できるかどうかです。 破片群がおりなすであろう集光部は、見えたとしても、せいぜいぼんやりとした光が地平線に浮かんでいるようにしか見えないと考えられます。


かなりスキルのあるベテラン観測者であれば、地平線近くに微かな姿を撮影できるかもしれませんが、一般的には地上からも航空機からも肉眼での確認は期待できないと思われます。

半年に一回の定期検査である。
6月より太ったからCT画像の腹脂肪が気になる・・・。
48  49  50  51  52  53  54  55  56  57  58 
Copyright © マッツゴ2 All Rights Reserved.
Powered by NinjaBlog
Graphics by 写真素材Kun * Material by Gingham * Template by Kaie
忍者ブログ [PR]